That's another year done and time for another "my years" post, where I attempt to log what I got up to so that in 2033 I can look back and chuckle from my full body haptic AR web browsing kit I bought from Amaoogle for £3,999.99.
So, please sit back, engage your eyeballs whilst I prattle on dear future Remy and all those present-now humung beans.
Work
Lol. This should be short! I finished up a contract working with Stef whom I've had the pleasure of working with many times over the years (and Stef, if you're reading, I hope to again).
In reality, at the end of 2022 I had hit a bit of a impenetrable brick wall. By the time the '22 Christmas holidays were over I was in a discombobulated state over the prospect of software development. It wasn't the contract, but the previous pandemic years finally catching up.
I'd been going full throttle since the pandemic had landed in the fear that work would dry up (Julie's industry, events, collapsed weeks before the pandemic landed in the UK fully).
I was stuck very much in a loop of: what's the point?
The upshot is that since day 1 of the business, I've always been risk adverse and kept a long financial runway in case I'm discovered as a fraud and can't find work for a year or so. Instead, it was my brain that had left the building so with the agreement of my family, I took April to the end of the year off (though excluding ffconf).
So, work was, thankfully, quiet. I'm a little nervous about returning to it in 2024, but I'll keep that for next year's post.
Off work for 9 months
On paper this looks like a lark, but the practical side really wasn't just sitting on the sofa watching TV.
I really wanted to get into side projects (specifically JS Bin) but in reality, I didn't find the motivation to start coding again until July and then September I got back into enjoying it.
The reality was mental health was the priority. I've struggled over many years with my own demons and in February I wrote about The flavour of my funk. It also included my happy list, which at the time was working more as a flotation device with a half-life of a few hours each.
Looking at my blog, my self-agreement to write twice a month fell to the wayside, reading books slowed right down and in many ways I was much less engaged in my computer (which I've used for so many aspects of my life for decades).
In March I finally had the start of an uptick, and most importantly to my year was that I started therapy (again) and would continue to until mid-October (with the agreed plan to return in Feb '24). It would take a good few months, but things would incrementally get more quiet in my head.
MS
With my diagnosis of MS at the start of 2020 (though I'm sure it was end of 2019), things have been a bit up and down. I started DMT with some of the strongest stuff available and the good news is the MRIs say there's no change to the four legions having a party inside my body.
I've had a mix of weirdness around my feet and legs (which has been recurring for me) and interestingly I've found that more walking, although initially uncomfortable, in the long run actually helps to reduce the discomfort in my legs.
In addition to this, the MS team in East Sussex are really amazing (the NHS really is incredible), and I was asked if I wanted to attend an "MS fatigue workshop".
The workshop was superb, run entirely on the efforts of the two MS specialist nurses (where they needed to get our feedback at the end of 6 weeks to help convince the higher ups that this was worth their time - it absolutely was). Once a week for 6 weeks, I joined a small group of other people who have MS and suffer from fatigue.
It's hard to explain, because it's easy for someone to chime in with "yeah, I'm really tired too". Though I think COVID in some ways has helped understand what the fatigue is. The long COVID fatigue is apparently similar. The fog that comes over your brain. The inability to concentrate. The exhaustion from doing literally nothing.
One week we were asked to log over a period of 3-5 days, on every hour, what the level of fatigue was and what were were doing. From this simple process, I discovered two easily identifiable triggers for me: bright sunshine outdoors - it immediately trips me into mega sluggish mode. Simple(ish) solution, sunglasses and shade. Just reduce the light coming in. The other was semi-busy social situations. It saps me of energy.
These discoveries don't mean I need to avoid the situations but instead I know how to work with them, allowing myself rest - and equally that Julie knows that I'll be exhausted afterwards (and it isn't just laziness).
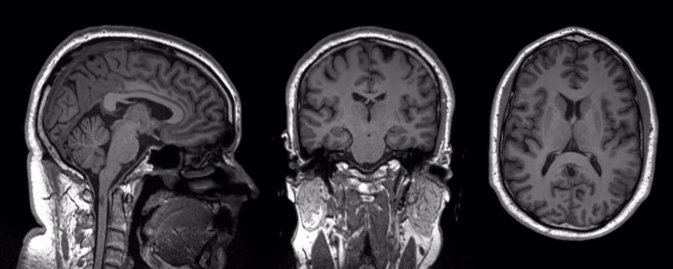
MRIs and my brain on drugs
Part of my MS also means I have yearly MRIs, but this year my consultant asked if I would be willing to partake in a study in to fatigue and MS, in exchange for £50 and imaging data of my brain. Oh - photos of my brain - yes please!
Short version, here's my brain:

Funnily enough, I had another MRI today… MRIs are pretty amazing.
Therapy
I'm not sure how much I've got to say about the process but I've always believed that talky-therapy is good for everyone, no (known) baggage required.
For me, in this round, it's helped me get some handle on the body shame that I've carried around with me for many decades. There's a lot of noise in my head. Sometimes it's "Bob" sometimes it's just awful shit that my brain says to me.
Julie bought me a decal that's now in our bathroom mirror that reads "I am worthy". On the surface (and this is probably Bob doing his thing) I find these kind of affirmations stupid. But the reality is that in the mornings, when I see it, my brain says "You're worthless" and my other brain says "Hang on, it says right there that I am worthy, so you're wrong. Stupid brain".
My therapy came to a natural end around the end of September and we closed up in October, but my counsellor/therapist (I'm not sure which is what) said that we could continue a drop in either monthly, or bi-monthly, or whatever I like. I love this approach, and I want to keep her (my therapist) in my life as long as I can.
Personal development
My family started Duolingo (for better or worse) this year and I randomly decided to jump on board too, learning Japanese (though in reality my time would be better spent (re)learning French or even German). Still, I thought it could help me play Japanese RPGs (it can't, I'm about 5 years off of that being a sniff of a reality!).
I do have a 200+ day streak to my name and I even managed #1 in their diamond league - which I then immediately turned my account to private so I wouldn't be obsessively gamed over my league position!
My Japanese is at the point where I can recognise sounds and the break up of words, but I'm currently at the stage (in Duolingo) where I'm able to link sounds to words but I probably can't tell you accurately (without prompts) what the words mean (this is bad)!
I've also started to learn BSL. I'm using an app called Lingvano which I'm really enjoying. The whole family is learning. It's something that Julie and I sometimes use to communicate across distances (like: "do you know where E is?", "do you want a coffee?"). It's also because my hearing is not good (you'll probably get a post about this in Jan) and we want a backup plan in case it gets as bad as both of our mother's own hearing. Plus, it's pretty rewarding.
Finally, not quite personal development, but something of a coup for me: I've been completing games. Recently I worked my way through all of the Metroid games (including the 3DS which I bought a faulty 3DS and fix it up specifically). I've never been able to complete games, but apparently all it took was some sticking power!
Side projects
As I mentioned, software didn't really come to me until much later on in the year, though I did managed to restore webmention.app (after Vercel blocked my account at the start of the year).
I also released a service (after blogging about the idea) that uses the Internet Archive to "unrot" old links: unrot.link.
Beyond software, I've continued to play in the hardware land, restoring vintage consoles. Mostly Game Boys but more recently enjoying the WonderSwan. I made a little site where you can buy my repaired warez if you're interested: retrobyrem.uk
ffconf
After returning in 2022 the ticketing and sponsor experience of ffconf 2023 was very different. Tickets sold out but took much longer to get there and sponsors are exceptionally thin.
However, in spite of this, the event was still a resounding success. All the videos are available to watch online, and I've already built up a list of topics I want for the 2024 edition (though I'll try to avoid planning anything for another few weeks!).
It's also amazing to watch the family grow with the event over the years:

Finally: family
Last year Taco came to join our family (becoming besties with Kipo - our tabby, whilst Disco continues to use our home as a cat-hotel). This year we (for the first time) bring a dog into our lives.
Coco.
She's a cross Chihuahua and Yorkipoo… a Chorkiepoo (or just "a mix" if you're like me and think these names are stupid).
Coco also loves Taco - so the family of animals get on rather well 💞 (as do the humungs…most of the time!)
